
Incognito braces are the advanced, hidden alternative to traditional fixed braces. Unlike conventional brackets worn on the front of the teeth, Incognito braces are placed discreetly on the back surface, making them virtually invisible when you smile or speak. They are individually custom made and suitable for adults, adolescents, and older teens who want a truly concealed treatment option.
At Modwena Orthodontics, our specialist orthodontists have extensive experience providing Incognito and WIN lingual braces. If you’d like to straighten your teeth without anyone noticing your brace, Incognito may be the perfect solution.
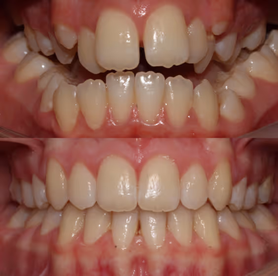
.webp)

Incognito braces are ideal for anyone who wants a completely hidden orthodontic option. They’re especially popular with adults in professional roles, patients who feel self conscious about visible braces, and those who prefer a behind the teeth system for social or lifestyle reasons. Patients from areas including Stapenhill, Horninglow, and Winshill appreciate that Incognito braces offer total discretion throughout treatment.
Incognito braces are the only fully customised lingual system designed to fit the exact shape of each tooth. Every bracket and wire is digitally planned and crafted to ensure accuracy, comfort, and effective tooth movement. Because they sit behind the teeth, they allow you to smile naturally throughout your treatment.
They are an excellent alternative to Radiance ceramic braces or Invisalign clear aligners for patients who want predictable fixed brace results with full discretion.

Individually designed for your teeth

Placed on the back of the teeth, staying out of sight
Can correct all types of tooth misalignment

Suitable for complex and detailed movements


Incognito braces require the skill and precision of a specialist orthodontist. At Modwena Orthodontics, your treatment is planned and overseen by a team of three Specialist Orthodontists, supported by highly experienced orthodontic therapists and nurses. With over 16 years working closely together, our team provides a warm, friendly environment with exceptional clinical expertise.




Incognito lingual braces are one of the most advanced orthodontic systems available, with fees starting from £7,895, depending on the complexity of your case. Your specialist will explain your treatment options and provide a personalised cost breakdown at your consultation.
Flexible payment options include:
Yes. Incognito braces sit on the back of your teeth, making them invisible from the front. Patients in Stapenhill and Eton Park often choose them for complete discretion.
It may take a little time to adjust, as the braces sit close to your tongue. However, most patients adapt quickly and appreciate the hidden placement compared to Radiance ceramic braces or Invisalign aligners.
Yes. Incognito braces can correct mild to complex orthodontic movements and are suitable for cases where removable aligners may not provide the level of precision required.
Adults and adolescents with healthy gums and bone structure typically do well with lingual braces. Your specialist orthodontist will confirm suitability during your consultation.
Some patients notice a temporary change in speech but this usually settles within a few days or weeks. Our team provides guidance to help with the adjustment period.
We welcome dentist referrals across the Midlands your patients will receive specialist care and excellent results.

Straighten your teeth discreetly with the expertise of our specialist orthodontists. Book your consultation to find out if Incognito braces are right for you.